通用头部--玉溪市人民医院
首页>>科室导航>>外科系统>>骨外一科(脊柱、创伤骨科)>>业务特色
​精准导航破难题 微创医术护安康——骨外一科成功救治多发骨折老人
发布时间:2026-01-23

近日,玉溪市人民医院骨外一科依托术中三维C型臂联合骨科手术导航系统,成功为一名伤情复杂的70岁多发骨折老人实施精准微创手术。团队凭借先进设备赋能、多学科协同发力,攻克患者寰枢椎及椎动脉变异带来的手术难题,助力老人早期康复下地,用精湛医术为老年患者生命健康筑起坚实防线。

据悉,老奶奶在田间劳作时,不慎从2米高的田埂跌落至沟中,被救护车送至当地医院后,CT检查提示颈椎骨折,随即紧急转入玉溪市人民医院。进一步检查中发现,老人伤情复杂,不仅存在颈椎齿状突骨折、胸腰椎多发骨折、双侧腕关节骨折,还合并头部硬膜外血肿,病情危急。

图片1

骨外一科值班医生第一时间启动多学科会诊机制,邀请神经外科、骨外三科专家共同评估病情,围绕患者头部及腕关节外伤制定紧急处理方案,始终坚守“生命第一”的救治原则,快速稳住老人生命体征。待病情平稳后,科室结合骨外三科意见,决定对愈合难度极高的Anderson II型齿状突骨折、第一腰椎骨折实施手术治疗,其余部位采取保守治疗。

图片2

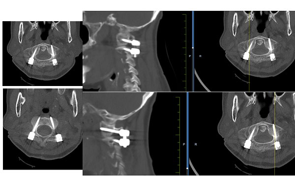
然而,术前检查又现难题:老人寰枢椎及椎动脉走行存在变异,大幅增加了手术难度与风险。为确保手术精准安全,骨外一科团队集体研讨后,决定采用术中三维C型臂联合骨科手术导航系统开展操作。该系统可通过环形扫描获取CT级三维影像,传输至导航系统后为手术提供精准指引;同时搭配高速磨钻匹配导航技术,有效减少椎体位置移动,解决了传统导航工具穿刺精准度不足的痛点。

手术由柏涛主任医师、王国著副主任医师、董谐主治医师联手完成。术中,三维C型臂与导航系统无缝配合,医生在精准指引下完成穿刺置钉,对齿状突骨折进行复位固定,同时采用微创椎体成形术治疗第一腰椎骨折。整场手术高效安全,最大限度地降低了手术创伤。

术后,老奶奶恢复情况远超预期,早期便脱离卧床,逐步恢复下地行走,成功规避了坠积性肺炎、深静脉血栓、压疮等长期卧床并发症。

图片3

术后

作为省内率先引进可移动三维C型臂和骨科手术导航系统的脊柱外科,玉溪市人民医院骨外一科始终以精湛技术赋能临床,用先进设备守护患者健康。此次复杂骨折手术的成功,既是多学科协作的典范,更是医院医疗技术水平持续提升的生动缩影,为区域内复杂脊柱骨折患者带来了更优质、更安全的诊疗选择。

骨外一科/柏涛 董国清

编辑:王一婷
关闭
通用底部--玉溪市人民医院