通用头部--玉溪市人民医院
​云南首例:我院成功为4岁患儿实施生物全降解PDA封堵术
发布时间:2025-11-14

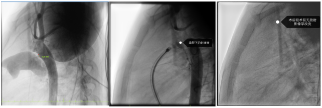
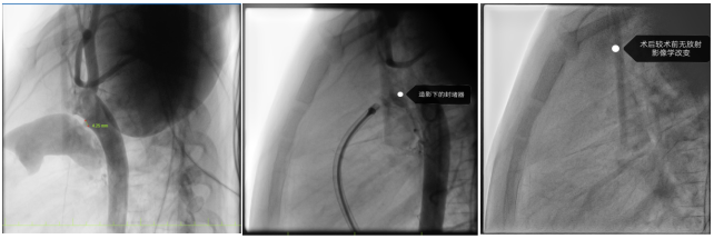
2025年11月7日,玉溪市人民医院心内科团队在广东省人民医院张智伟教授指导下,成功完成云南省首例生物全降解动脉导管未闭(PDA)介入封堵治疗。

图片1

图片2

患者为4岁男性患儿,体检发现先天性心脏病:动脉导管未闭,分流4.3mm,且左心房已经扩大,来我院就医希望能得到进一步及时诊治。

由于患者年仅4岁,经团队评估后,适合选择介入无金属植入物的全降解封堵器封堵治疗。目前的全降解封堵器由生物高分子材料组成,配合三层阻流膜设计,可有效降低残余分流的风险,且后续无金属植入物在体内,大大减少对未来生活、工作、心理等影响。

在张智伟教授指导下,玉溪市人民医院心内科团队手术过程中,精准定位动脉导管分流位置,将生物可降解封堵器成功植入,实现了对分流的有效封堵。术后超声评估封堵器周围无残余分流,封堵器占位良好。

图片3

图片4

图片5

6

此次生物可降解介入封堵动脉导管未闭手术的成功完成,标志着玉溪市人民医院在结构性心脏病介入治疗领域在“有介入无植入,有植入无残留”的道路上更进一步,不仅为患者提供了更符合生理特性的治疗选择,也彰显了医院强大的技术创新与临床实践能力。未来,医院将继续秉承“以患者为中心”的理念,推动可吸收介入器械的临床应用与研究,为更多心血管疾病患者带来更安全、更精准的诊疗方案。

拓展阅读:动脉导管未闭(PDA),是指主动脉和肺动脉之间的一个生理性通道,通常在出生后24-48小时完成功能性闭合,2-3周完成解剖学闭合形成动脉韧带。PDA是临床上常见的先天性心脏病,儿童发病率约在5-10%,传统的金属封堵器在封堵后将永久留存于缺损位置,最终形成含有复杂金属结构的隔膜,金属在心脏中的长期存在可能会导致潜在的并发症。生物可降解封堵器为植入性材料的遗留问题提供了新的技术思路和处理方法。

心内科/李玺臣

编辑:王一婷
关闭
通用底部--玉溪市人民医院
​云南首例:我院成功为4岁患儿实施生物全降解PDA封堵术
发布时间:2025-11-14

2025年11月7日,玉溪市人民医院心内科团队在广东省人民医院张智伟教授指导下,成功完成云南省首例生物全降解动脉导管未闭(PDA)介入封堵治疗。

图片1

图片2

患者为4岁男性患儿,体检发现先天性心脏病:动脉导管未闭,分流4.3mm,且左心房已经扩大,来我院就医希望能得到进一步及时诊治。

由于患者年仅4岁,经团队评估后,适合选择介入无金属植入物的全降解封堵器封堵治疗。目前的全降解封堵器由生物高分子材料组成,配合三层阻流膜设计,可有效降低残余分流的风险,且后续无金属植入物在体内,大大减少对未来生活、工作、心理等影响。

在张智伟教授指导下,玉溪市人民医院心内科团队手术过程中,精准定位动脉导管分流位置,将生物可降解封堵器成功植入,实现了对分流的有效封堵。术后超声评估封堵器周围无残余分流,封堵器占位良好。

图片3

图片4

图片5

6

此次生物可降解介入封堵动脉导管未闭手术的成功完成,标志着玉溪市人民医院在结构性心脏病介入治疗领域在“有介入无植入,有植入无残留”的道路上更进一步,不仅为患者提供了更符合生理特性的治疗选择,也彰显了医院强大的技术创新与临床实践能力。未来,医院将继续秉承“以患者为中心”的理念,推动可吸收介入器械的临床应用与研究,为更多心血管疾病患者带来更安全、更精准的诊疗方案。

拓展阅读:动脉导管未闭(PDA),是指主动脉和肺动脉之间的一个生理性通道,通常在出生后24-48小时完成功能性闭合,2-3周完成解剖学闭合形成动脉韧带。PDA是临床上常见的先天性心脏病,儿童发病率约在5-10%,传统的金属封堵器在封堵后将永久留存于缺损位置,最终形成含有复杂金属结构的隔膜,金属在心脏中的长期存在可能会导致潜在的并发症。生物可降解封堵器为植入性材料的遗留问题提供了新的技术思路和处理方法。

心内科/李玺臣

医院地址: 玉溪市红塔区聂耳路二十一号

专科预约方式: 微信搜索添加关注“云南省玉溪市人民医院”公众号

支付宝生活号关注“云南省玉溪市人民医院”等进行手机支付预约挂号服务

版权所有:云南省玉溪市人民医院

制作单位:玉溪网新媒体发展有限公司

滇ICP备2020008668号-1

滇公网安备 53040202000041号