通用头部--玉溪市人民医院
首页>>科室导航>>外科系统>>肝胆胰-甲状腺-血管外科>>科室文化
​肺动脉被血栓堵塞命悬一线!玉医血管外科微创取栓力挽狂澜
发布时间:2025-09-12

急性肺栓塞(APE)是威胁生命的“隐形杀手”,尤其当血栓堵塞肺动脉主干时,死亡率可高达30%。近日,玉溪市人民医院肝胆胰-甲状腺-血管外科团队成功为一名高危肺栓塞患者实施经导管肺动脉取栓术,以微创技术迅速开通闭塞血管,挽救了患者生命。这一技术的成功开展,标志着医院在肺栓塞急救领域迈入区域领先水平!

患者杨先生,70岁,因“腰背部疼痛3小时”急诊入院。完善增强CT显示双侧肺动脉主干及分支大面积栓塞,血栓长度超过10cm,右心室明显扩张,肺动脉压力高达60mmHg(正常值<25mmHg)。完善下肢静脉超声证实存在深静脉血栓(DVT)。

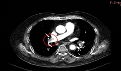
图片1

左肺动脉上、下叶动脉血栓(术前影像)    

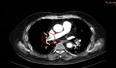
图片2

肺动脉主干血栓形成(术前影像)

患者由于血流动力学不稳定,收缩压下降,氧饱和度仅72%(未吸氧状态下),心脏负荷大,随时可能引发心脏骤停,病情十分凶险。

面对危急情况,肝胆胰-甲状腺-血管外科团队深夜联合介入医学科、重症医学科开展多学科会诊(MDT)紧急会诊,决定采用经皮肺动脉机械取栓术。

手术过程分三步走:精准定位、机械取栓、联合防治。术中取出暗红色血栓,同期植入可回收下腔静脉滤器预防再栓塞,手术圆满完成。术后启动利伐沙班+低分子肝素桥接抗凝方案。

图片3

术中取出暗红色血栓

QQ20250912-195426

术后造影双侧主干未见明显血栓

术后,患者肺动脉压力从60mmHg降至35mmHg,氧饱和度恢复至96%。患者恢复健康后已出院。

此次手术的成功得益于团队的精密配合:血管外科主导手术规划与实施,医学影像部提供术前三维建模、术中DSA导航;介入医学科实施目标导向液体管理,维持循环稳定;重症医学科术后48小时高级生命支持;护理团队专设VTE预警小组,全程监测。

此次手术的成功,不仅挽救了一个生命,更彰显了滇中地区在急危重症救治领域的硬实力。未来,医院将持续优化VTE防治体系,让更多患者受益于微创介入技术的“生命奇迹”!

血管外科李兴东医师提醒,有以下这些症状需警惕肺栓塞:高危人群,如长期卧床、肿瘤患者、近期手术/骨折史者);典型症状,如突发呼吸困难(占85%病例)、 胸痛(尤以吸气时加重)、咯血(提示肺梗死)、晕厥(预示高危栓塞)。

专家推荐:

图片4

李兴东 主任医师  肝胆胰-甲状腺-血管外科副主任

率先在玉溪开展多项高难度血管介入手术,如胸主动脉夹层腔内修复术/腹主动脉瘤腔内修复术、肺动脉取栓术等。

门诊时间:周三


图片5

刘明辉 主任医师 硕士研究生

擅长肝胆胰脾疾病,甲状腺疾病及血管疾病的外科治疗。

门诊时间:周四


图片6

李世杰  主任医师

擅长肝胆胰脾疾病,甲状腺疾病及血管疾病的外科治疗。

门诊时间:周一上午


图片7

余代波  主治医师

擅长肝、胆、胰、甲状腺、血管疾病诊治及微创手术治疗,肝胆胰消化(ERCP)内镜治疗。

门诊时间:周日上午      

肝胆胰-甲状腺-血管外科/王联林 李兴东

编辑:王一婷
关闭
通用底部--玉溪市人民医院